目の下のクマ治療として知られるハムラ法(Hamra法)・裏ハムラ法。
最近、SNSで
「ハムラ法後に複視が出た」
という投稿を目にします。
しかし結論から言うと、
通常のハムラ法を専門医が行った場合、複視や外反といった合併症の発生は比較的稀で、簡単に起こるものではありません。
私自身、これまでの形成外科医・美容外科医としての経験の中で
ハムラ法後に複視を生じたケースは、一例も経験していません。
本記事では、形成外科専門医・美容外科専門医の視点から
・ハムラ法で複視が起こる可能性
・外反などの合併症
・安全に受けるためのポイント
を解説します。
ハムラ法とは?目の下のクマ治療の手術
ハムラ法は、目の下のクマ・たるみを改善する手術の一つです。
下眼瞼の眼窩脂肪を単純に取り除くのではなく、
✔ 眼窩脂肪を移動させる
✔ 眼窩縁の段差を滑らかにする
✔ 目の下の膨らみと凹みを同時に改善する
という方法です。
主に以下の2種類があります。
表ハムラ法(皮膚切開)
下まつ毛の下を切開し
脂肪を移動させる方法



裏ハムラ法(経結膜切開)
まぶたの裏側(結膜)からアプローチする方法
皮膚に傷が残らないのが特徴です。
いずれも経験を積んだ形成外科専門医・美容外科専門医が責任を持って行うべき、目元の若返り手術です。なぜなら、不適切な施術・内部処理によって、外反・複視などの比較的重篤な合併症リスクがあるからです。
ハムラ法で複視は起こるのか
結論から言うと、
ハムラ法で複視が起こる可能性はあります。ただし、経験のある専門医が十分配慮して行えば、発生率は極めて低いものです。
理由は明確です。
ハムラ法の操作範囲は
・眼窩脂肪
・眼窩縁
・眼輪筋周囲
であり、
眼球運動に関わる外眼筋には通常触れません。
外眼筋は
・下直筋
・下斜筋
・内直筋
などですが、
そのため、適切な解剖理解と手技で行われていれば複視は基本的に起こりません。
ただし、剥離操作の際、誤ったレイヤーに入ってしまうと下斜筋を損傷し、外眼筋麻痺による眼球の上転障害から複視をきたす危険性があります。
だからこそ、経験が豊富な形成外科専門医が行うべきであることは言うまでもありません。一度、外眼筋麻痺による複視を起こしてしまうと、基本的には損傷させた外眼筋の自然回復を待つほかありません。軽度の場合でも、回復までの期間は月単位かかることが予想されます。高度の損傷では、戻らない可能性も考えられます。また、眼科との診療連携が必須となります。想定外のダウンタイム、眼球運動という視機能を障害されたことによる生活不安など、患者様の心情は計り知れません。
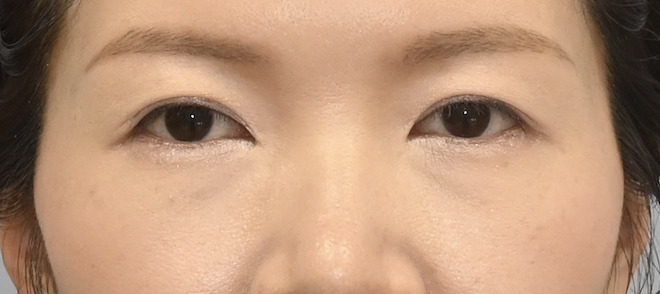
ハムラ法の症例紹介


明らかに下眼瞼の凹凸、たるみが改善し、ご満足いただけました。
【リスク】痛み、内出血、血腫、外反、傷跡、軽度の凹凸・たるみが残るなど
【料金】通常価格550,000円→モニター価格440,000円(税込)
※自由診療(保険適用外)
※医師が診察し適応を判断します。
※モニター条件:手術歴がなく、術前後の写真掲載が可能な方。
ハムラ法で起こりうる合併症
どの手術でも合併症はゼロではありません。
ハムラ法で考えられる合併症は
・下眼瞼外反
・結膜浮腫
・腫れ
・内出血
・血腫
・創離開
・左右差
・複視
・老化によるたるみの再発
などです。
ただし、
これらも適切な手術であれば発生率は低いです。
特に外反は
・皮膚切除過多
・支持構造の破綻
などが原因となります。
ハムラ法は誰が行うべき手術か
ハムラ法は
下眼瞼、眼周囲の高度な解剖理解が必要な手術です。
そのため、
少なくとも以下を満たす医師が行うべきと考えます。
✔ 日本形成外科学会認定専門医または眼形成外科医
✔ 美容外科学会(JSAPS)認定専門医(形成外科専門医を持っている美容外科専門医)
✔ 下眼瞼切開手術の経験が豊富
形成外科では
・下眼瞼切開
・眼瞼下垂手術
・経結膜手術
などを多数経験しています。
これらの十分な症例数の経験があることで
安全なハムラ法が可能になります。
ハムラ法で後悔しないために
目の下の手術は
顔の印象を大きく左右する効果的な美容外科手術ですが、同時にとても専門的で繊細な術式の一つです。
クリニックを選ぶ際には
✔ 医師の専門医資格
✔ 下眼瞼手術の経験
✔ 症例の質
を確認することが重要です。
SNSの情報だけではなく、
医師の専門性と実績を十分確認することをおすすめします。
まとめ
ハムラ法は、適切に行えば
自然な目の下の若返りが可能な優れた手術です。
一方で、
・複視
・外反
といった合併症のリスクが低いながらにあります。
そのリスクを最小限に、効果を最大限得るためには、
十分な技術力と経験を持つ専門医が行うことが重要です。
🏥パールスキンクリニック天神 美容外科・美容皮膚科
山道 光作 院長
🏅日本美容外科学会(JSAPS)認定専門医
🏅日本形成外科学会認定専門医(指導医)
🎖️米国形成外科学会 国際会員
🎖️医学博士
🏆美容外科専門の国際誌 Aesthetic Surgery Journal Open Forum(オックスフォード大学出版)に、鼻整形に関する論文掲載歴あり
当院は完全予約制となっております。
WEB予約フォーム、LINE、お電話よりご予約が可能です。
(1) WEBから予約
(2) LINEから予約
パールスキンクリニック天神の公式LINE
(3) 電話予約
092-401-0082


カウンセリング予約はこちら
輪郭形成の術式選択や適応は、お一人おひとりの輪郭の状態によって大きく異なります。
「自分にはどの術式が合っているのか」といった段階でも、どうぞお気軽にご相談ください。無理に施術をおすすめすることはありません。診察のうえで、施術が適さない場合には正直にお伝えしています。
当院は完全予約制となっております。
WEB予約フォーム、LINE、お電話よりご予約が可能です。
(1) WEBから予約
(2) LINEから予約
パールスキンクリニック天神の公式LINE
(3) 電話予約
092-401-0082



#福岡埋没法 #埋没法福岡 #二重 #福岡二重 #二重埋没 #二重埋没法 #埋没法
#眼瞼下垂 #挙筋前転 #二重切開 #全切開 #他院修正 #目頭切開 #脱脂 #クマとり #クマ取り #ハムラ法 #たるみ取り #眉下切開 #眉下リフト #目尻切開 #グラマラスライン
#日本形成外科学会認定形成外科専門医 #日本美容外科学会認定美容外科専門医(JSAPS)
#糸リフト #福岡糸リフト #糸リフト福岡 #糸リフト名医 #糸リフト福岡名医 #フェイスリフト名医 #フェイスリフト福岡 #福岡フェイスリフト #リフトアップ #ショッピングスレッド #ショッピングリフト #小顔 #小顔になりたい #エイジングケア #アンチエイジング
#ショッピングスレッドならパールスキンクリニック #たるみ治療
#ショッピングリフトならパールスキンクリニック
#ハイフ #リニアハイフ #小顔 #小顔整形 #ハイフ福岡 #医療ハイフ
#ポテンツァ #ニキビ跡改善 #ニキビ改善 #ニキビ #肝斑 #肝斑改善
#ダーマペン #ヴェルヴェットスキン #ベルベットスキン #ダーマペン4 #マッサージピール #コラーゲンピール #ピーリング #ケミカルピーリング #ベビーピール
#しみ取り #いぼ取り #傷跡 #傷跡修正 #刺青除去 #ホクロ除去 #ホクロ #ホクロ切除
#鼻整形福岡 #鼻 #鼻プロテ #鼻プロテーゼ #鼻フル #鼻先縮小 #鼻尖形成 #団子鼻解消 #団子鼻改善 #鼻中隔延長 #鼻翼縮小 #小鼻縮小 #鼻孔縁挙上 #鼻柱挙上
#フェイスリフト #輪郭 #輪郭整形 #福岡輪郭 #輪郭福岡 #セットバック #オトガイ形成 #エラ削り #Vライン形成 #輪郭3点 #頬骨削り #頬骨縮小 #両顎 #ルフォー #ssro #オトガイ形成 #オトガイ骨切り
#豊胸 #脂肪吸引 #脂肪注入 #バッグ豊胸 #脂肪注入豊胸 #ピュアグラフト #crf豊胸
#乳房縮小 #乳輪縮小 #乳頭縮小 #モンゴメリー腺切除
#白玉点滴 #ビタミン #ビタミン点滴 #内服 #レチノール #ハイドロキノン
#aga #薄毛 #育毛 #フィナステリド
#ダイエット #リベルサス #glp1ダイエット
#福岡美容外科 #美容外科福岡 #福岡美容皮膚科 #美容皮膚科福岡 #福岡美容 #美容
#福岡 #天神 #パールスキンクリニック #パールスキンクリニック天神
#美容医療 #ボトックス #ワキボトックス #エラボトックス #ダーマペン #ヴェルヴェットスキン #サリチル酸マクロゴールピーリング #VIO脱毛 #顔脱毛
#リフトアップ #ハイフ #ショッピングスレッド
#小顔注射 #脂肪溶解注射 #眼瞼下垂 #二重整形 #二重切開 #二重埋没 #埋没法
#切開法 #脱脂 #まぶたのたるみ取り #まぶたの脂肪取り #クマ取り #目頭切開
#グラマスライン #目尻切開 #ハムラ法 #眉下切開
#バッカルファット除去
#天神#福岡#親不孝通り#美容外科#天神美容外科#美容皮膚科#形成外科#福岡美容#美容#ヒアルロン酸#美肌#美白#美容好きな人と繋がりたい#シワ改善#凹み肌#肌質改善#パールスキンクリニック#pearl#スキンケア#アラサー女子#ヒアルロン酸注入#ボトックス治療#水光注射#シャネルプラス#ショッピングスレッド#ヴェルベットスキン#埋没#二重#鼻整形
#福岡埋没 #埋没福岡 #二重 #福岡二重 #二重埋没 #二重埋没法 #埋没法 #タレ目尻 #タレ目
#タレ目形成 #目尻切開 #タレ目尻切開
#眼瞼下垂 #挙筋前転 #二重切開 #全切開 #他院修正 #目頭切開 #脱脂 #クマとり #クマ取り #ハムラ法 #たるみ取り #眉下切開 #眉下リフト #目尻切開 #グラマラスライン
#糸リフト #福岡糸リフト #糸リフト福岡 #リフトアップ
#ハイフ #リニアハイフ #小顔 #小顔整形 #ハイフ福岡 #医療ハイフ
#ポテンツァ #ニキビ跡改善 #ニキビ改善 #ニキビ #肝斑 #肝斑改善
#ダーマペン #ヴェルヴェットスキン #ベルベットスキン #ダーマペン4 #マッサージピール #コラーゲンピール #ピーリング #ケミカルピーリング #ベビーピール
#しみ取り #いぼ取り #傷跡 #傷跡修正 #刺青除去 #ホクロ除去 #ホクロ #ホクロ切除
#鼻整形福岡 #鼻 #鼻プロテ #鼻プロテーゼ #鼻フル #鼻先縮小 #鼻尖形成 #団子鼻解消 #団子鼻改善 #鼻中隔延長 #鼻翼縮小 #小鼻縮小 #鼻孔縁挙上 #鼻柱挙上 #鼻翼挙上術 #隆鼻術
#フェイスリフト #輪郭 #輪郭整形 #セットバック #オトガイ形成 #エラ削り #Vライン形成 #輪郭3点 #頬骨削り #アゴ整形 #顎整形 #外科矯正 #顎矯正手術
#豊胸 #脂肪吸引 #脂肪注入 #バッグ豊胸 #脂肪注入豊胸 #ピュアグラフト #crf豊胸
#白玉点滴 #ビタミン #ビタミン点滴 #内服 #レチノール #ハイドロキノン
#aga #薄毛 #育毛 #フィナステリド
#ダイエット #リベルサス #glp1ダイエット
#美容垢ク #スキンケア #美肌ケア #美白ケア #肌ケア #肌管理 #痩せたい #きれいになりたい #肌育 #レーザー #シミレーザー #ソバカス #そばかす #そばかす除去 #メイク #ファッション #美容オタク #スキンケア #美肌ケア #美白ケア #肌ケア #肌管理 #痩せたい #きれいになりたい #肌育 #レーザー #シミレーザー #ピコレーザー #ピコトーニング #ソバカス #そばかす #そばかす除去 #メイク #ファッション
#韓国コスメ#韓国スキンケア #デパコス #アイメイク #保湿 #毛穴ケア #毛穴改善 #毛穴治療 #毛穴やばい #ニキビケア #ニキビ跡ケア #ニキビ改善 #ニキビ跡改善 #ニキビ治療 #クレーター改善 #クレーター改善 #敏感肌 #乾燥肌 #ニキビ肌 #オイリー肌改善 #オイリー肌 #美容垢 #福岡美容外科 #天神美容整形 #福岡二重整形 #福岡鼻整形 #福岡輪郭整形 #福岡ボトックス #天神美肌治療
#福岡埋没法 #埋没法福岡 #二重 #福岡二重 #二重埋没 #二重埋没法 #埋没法
#眼瞼下垂 #挙筋前転 #二重切開 #全切開 #他院修正 #目頭切開 #脱脂 #クマとり #クマ取り #ハムラ法 #たるみ取り #眉下切開 #眉下リフト #目尻切開 #グラマラスライン
#日本形成外科学会認定形成外科専門医 #日本美容外科学会認定美容外科専門医(JSAPS)
#糸リフト #福岡糸リフト #糸リフト福岡 #糸リフト名医 #糸リフト福岡名医 #フェイスリフト名医 #フェイスリフト福岡 #福岡フェイスリフト #リフトアップ #ショッピングスレッド #ショッピングリフト #小顔 #小顔になりたい #エイジングケア #アンチエイジング
#ショッピングスレッドならパールスキンクリニック #たるみ治療
#ショッピングリフトならパールスキンクリニック
#ハイフ #リニアハイフ #小顔 #小顔整形 #ハイフ福岡 #医療ハイフ
#ポテンツァ #ニキビ跡改善 #ニキビ改善 #ニキビ #肝斑 #肝斑改善
#ダーマペン #ヴェルヴェットスキン #ベルベットスキン #ダーマペン4 #マッサージピール #コラーゲンピール #ピーリング #ケミカルピーリング #ベビーピール
#しみ取り #いぼ取り #傷跡 #傷跡修正 #刺青除去 #ホクロ除去 #ホクロ #ホクロ切除
#鼻整形福岡 #鼻 #鼻プロテ #鼻プロテーゼ #鼻フル #鼻先縮小 #鼻尖形成 #団子鼻解消 #団子鼻改善 #鼻中隔延長 #鼻翼縮小 #小鼻縮小 #鼻孔縁挙上 #鼻柱挙上
#フェイスリフト #輪郭 #輪郭整形 #福岡輪郭 #輪郭福岡 #セットバック #オトガイ形成 #エラ削り #Vライン形成 #輪郭3点 #頬骨削り #頬骨縮小 #両顎 #ルフォー #ssro #オトガイ形成 #オトガイ骨切り
#豊胸 #脂肪吸引 #脂肪注入 #バッグ豊胸 #脂肪注入豊胸 #ピュアグラフト #crf豊胸
#乳房縮小 #乳輪縮小 #乳頭縮小 #モンゴメリー腺切除
#白玉点滴 #ビタミン #ビタミン点滴 #内服 #レチノール #ハイドロキノン
#aga #薄毛 #育毛 #フィナステリド
#ダイエット #リベルサス #glp1ダイエット
#福岡美容外科 #美容外科福岡 #福岡美容皮膚科 #美容皮膚科福岡 #福岡美容 #美容
#福岡 #天神 #パールスキンクリニック #パールスキンクリニック天神
#美容医療 #ボトックス #ワキボトックス #エラボトックス #ダーマペン #ヴェルヴェットスキン #サリチル酸マクロゴールピーリング #VIO脱毛 #顔脱毛
#リフトアップ #ハイフ #ショッピングスレッド
#小顔注射 #脂肪溶解注射 #眼瞼下垂 #二重整形 #二重切開 #二重埋没 #埋没法
#切開法 #脱脂 #まぶたのたるみ取り #まぶたの脂肪取り #クマ取り #目頭切開
#グラマスライン #目尻切開 #ハムラ法 #眉下切開
#バッカルファット除去
#天神#福岡#親不孝通り#美容外科#天神美容外科#美容皮膚科#形成外科#福岡美容#美容#ヒアルロン酸#美肌#美白#美容好きな人と繋がりたい#シワ改善#凹み肌#肌質改善#パールスキンクリニック#pearl#スキンケア#アラサー女子#ヒアルロン酸注入#ボトックス治療#水光注射#シャネルプラス#ショッピングスレッド#ヴェルベットスキン#埋没#二重#鼻整形
#福岡埋没 #埋没福岡 #二重 #福岡二重 #二重埋没 #二重埋没法 #埋没法 #タレ目尻 #タレ目
#タレ目形成 #目尻切開 #タレ目尻切開
#眼瞼下垂 #挙筋前転 #二重切開 #全切開 #他院修正 #目頭切開 #脱脂 #クマとり #クマ取り #ハムラ法 #たるみ取り #眉下切開 #眉下リフト #目尻切開 #グラマラスライン
#糸リフト #福岡糸リフト #糸リフト福岡 #リフトアップ
#ハイフ #リニアハイフ #小顔 #小顔整形 #ハイフ福岡 #医療ハイフ
#ポテンツァ #ニキビ跡改善 #ニキビ改善 #ニキビ #肝斑 #肝斑改善
#ダーマペン #ヴェルヴェットスキン #ベルベットスキン #ダーマペン4 #マッサージピール #コラーゲンピール #ピーリング #ケミカルピーリング #ベビーピール
#しみ取り #いぼ取り #傷跡 #傷跡修正 #刺青除去 #ホクロ除去 #ホクロ #ホクロ切除
#鼻整形福岡 #鼻 #鼻プロテ #鼻プロテーゼ #鼻フル #鼻先縮小 #鼻尖形成 #団子鼻解消 #団子鼻改善 #鼻中隔延長 #鼻翼縮小 #小鼻縮小 #鼻孔縁挙上 #鼻柱挙上 #鼻翼挙上術 #隆鼻術
#フェイスリフト #輪郭 #輪郭整形 #セットバック #オトガイ形成 #エラ削り #Vライン形成 #輪郭3点 #頬骨削り #アゴ整形 #顎整形 #外科矯正 #顎矯正手術
#豊胸 #脂肪吸引 #脂肪注入 #バッグ豊胸 #脂肪注入豊胸 #ピュアグラフト #crf豊胸
#白玉点滴 #ビタミン #ビタミン点滴 #内服 #レチノール #ハイドロキノン
#aga #薄毛 #育毛 #フィナステリド
#ダイエット #リベルサス #glp1ダイエット
#美容垢ク #スキンケア #美肌ケア #美白ケア #肌ケア #肌管理 #痩せたい #きれいになりたい #肌育 #レーザー #シミレーザー #ソバカス #そばかす #そばかす除去 #メイク #ファッション #美容オタク #スキンケア #美肌ケア #美白ケア #肌ケア #肌管理 #痩せたい #きれいになりたい #肌育 #レーザー #シミレーザー #ピコレーザー #ピコトーニング #ソバカス #そばかす #そばかす除去 #メイク #ファッション
#韓国コスメ#韓国スキンケア #デパコス #アイメイク #保湿 #毛穴ケア #毛穴改善 #毛穴治療 #毛穴やばい #ニキビケア #ニキビ跡ケア #ニキビ改善 #ニキビ跡改善 #ニキビ治療 #クレーター改善 #クレーター改善 #敏感肌 #乾燥肌 #ニキビ肌 #オイリー肌改善 #オイリー肌 #美容垢 #福岡美容外科 #天神美容整形 #福岡二重整形 #福岡鼻整形 #福岡輪郭整形 #福岡ボトックス #天神美肌治療







